Zirkon 

Je nach Einsatzgebiet verwenden wir die dafür optimale Zirkon-Art

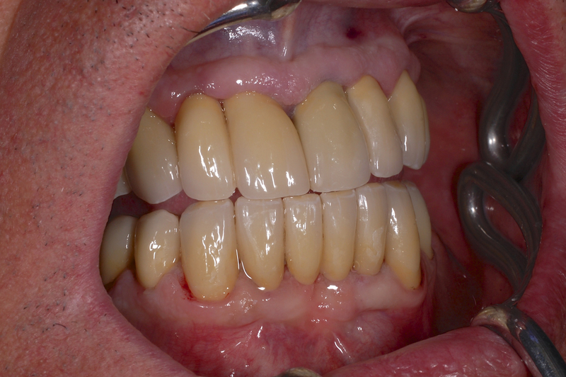
Patient:

Sanierungsbedürftig

Zum Einsatz kommt ein metallfreier Zahnersatz aus hochtransluzenten Zirkoniumdioxid ( Zenostar )

Zenostar steht für Zirkoniumdioxid von Wieland Dental. Die klare monolithische Linie in der Zahntechnik

 

Präparation:

Es empfiehlt sich eine grazile Hohlkehlenpräparation,da sie substanzschonend ist und die Festigkeit der Krone im Vergleich zu ausgeprägter Hohlkehlenpräparation nicht mindert.

Eine ca. 4° steile Präp. des Einzelzahns und Gesamteinschubs sichern ein problemloses eingliedern der Kronen und Brücken.

 

Einsetzen:

Zirkonoxid wird einfach ohne weiteres vorbehandeln des Zahnersatzes oder der Zahnstümpfe mit gängigen Zementierungsmaterialien befestigt

 

Hier finden Sie uns

iDentalist
Zahntechnik Ulrich Rupprecht
Nördliche Uferstraße 4-6

76189 Karlsruhe

Kontakt

Rufen Sie einfach an unter

 

0721 96884138

 

oder nutzen Sie unser Kontaktformular.

Druckversion | Sitemap
© iDentalist