Konuskronen / Einstückguss

Die Bilder der hier gezeigten Patientenfälle sind reine fachliche und sachliche Darstellungen, um den Einsatz von CrCo im Einstückgussverfahren und ein paar seiner Kombinationsmöglichkeiten aufzuzeigen.

Alle hier gezeigten Prothesen sind schon länger als zwei Jahre im harten Alltagseinsatz und erfreuen ihre Besitzer jeden Tag aufs Neue.

Aufgabenstellung.

Gaumenfreie Gestaltung. Erhalt des natürlichen Diastema

Einstückguss:

Front und Pfeilerzähne sind keramikverblendet,soweit möglich

Einstückguss:

Front und Pfeilerzähne sind keramikverblendet die Primärteile aus Zirkon.

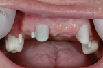
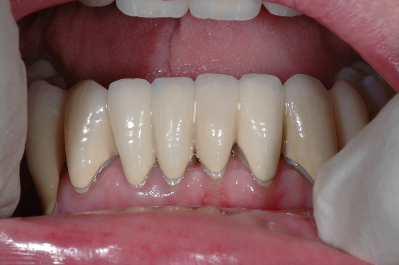
Im Unterkiefer sollten die Sekundärkronen die Gingiva nicht Tangieren

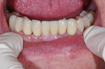
Einstückguss:

Front und Pfeilerzähne sind keramikverblende die Primärteile aus Zirkon.

Unterkiefer VMK

Einstückguss

Divergierende Frontzähne. Keine umfassenden Konuskronen möglich. Größter Wunsch des Patienten: Keine Gaumenplatte!Einstückguss

Einstückguss:

Front und Pfeilerzähne sind keramikverblende die Primärteile aus Zirkon.

 

Hier finden Sie uns

iDentalist
Zahntechnik Ulrich Rupprecht
Nördliche Uferstraße 4-6

76189 Karlsruhe

Kontakt

Rufen Sie einfach an unter

 

0721 96884138

 

oder nutzen Sie unser Kontaktformular.

Druckversion | Sitemap
© iDentalist